מרפאת שיניים
ד"ר לינה לויט

תיק עבודות

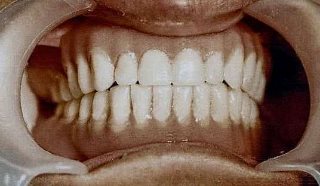
לפני:תותבות זמניות, עקירות, תותבות קבועותתותבות זמניות, עקירות, תותבות קבועות
תותבות זמניות, עקירות, תותבות קבועות
לפני:מבנה קומפוזית, ערוכת כותרת, כתרים זמניים, כתרים Emaxמבנה קומפוזית, ערוכת כותרת, כתרים זמניים, כתרים Emax
מבנה קומפוזית, ערוכת כותרת, כתרים זמניים,  Emax
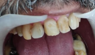
לפני:תותבת מיידית עם שיניים לתותבת קבועתותבת מיידית עם שיניים לתותבת קבוע
תותבת מיידית עם שיניים לתותבת קבוע
לפני:השחזה, טיפול זמני, הדבקה, Laminate Veneerהשחזה, טיפול זמני, הדבקה, Laminate Veneer
השחזה, טיפול זמני, הדבקה, Laminate Veneer
לפני:החלפת סתימה מאמלגמה לשחזור מקומפוזיתהחלפת סתימה מאמלגמה לשחזור מקומפוזית
החלפת סתימה מאמלגמה לשחזור מקומפוזית
לפני:Laminate Veneer בשיניים קדמיותLaminate Veneer בשיניים קדמיות
Laminate Veneer בשיניים קדמיות
לפני:השלמת שן אצל ילד אחרי שברהשלמת שן אצל ילד אחרי שבר
השלמת שן אצל ילד אחרי שבר
לפני:עקיריות, הכנת תותבת זמנית  בזמן תקופת הריפויעקיריות, הכנת תותבת זמנית  בזמן תקופת הריפוי
עקיריות, הכנת תותבת זמנית  בזמן תקופת הריפוי